ergo-log.com

Definition: "An ergogenic aid is any substance or phenomenon that enhances performance "

about us

/

contact

/

Ergo-Log

02.01.2025


How ultra processed foods reduce the quality of your muscle tissue

A diet high in industrial ultra-processed foods, such as sweetened breakfast cereals, frozen pizzas, soft drinks, pastries and candy, causes the body to convert parts of muscle tissue into fat tissue. This also happens when you consume relatively little energy and exercise a lot.


How ultra processed foods reduce the quality of your muscle tissue


Study
In the first week of December 2024, Zehra Akkaya, a radiologist at the University of California, San Francisco, presented the results of a study involving 666 healthy and older Americans at the annual meeting of the Radiological Society of North America.

The researchers followed the study participants in the hope of better understanding which lifestyle factors protect against wear and tear of the knee joint - and which lifestyle factors accelerate this process. The study participants were on average 60 years old and had no joint diseases.

Results
An important protective factor against wear and tear of the knee joint is having strong leg muscles - and Akkaya and her colleagues found that a high intake of ultra processed foods damaged leg muscles. This means that a diet high in ultra processed foods can accelerate the wear and tear of the knee.

The more ultra processed foods the study participants consumed, the more fat tissue there was in their leg muscles. The more fat cells there are in muscle tissue, the worse they function.


How ultra processed foods reduce the quality of your muscle tissue


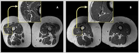
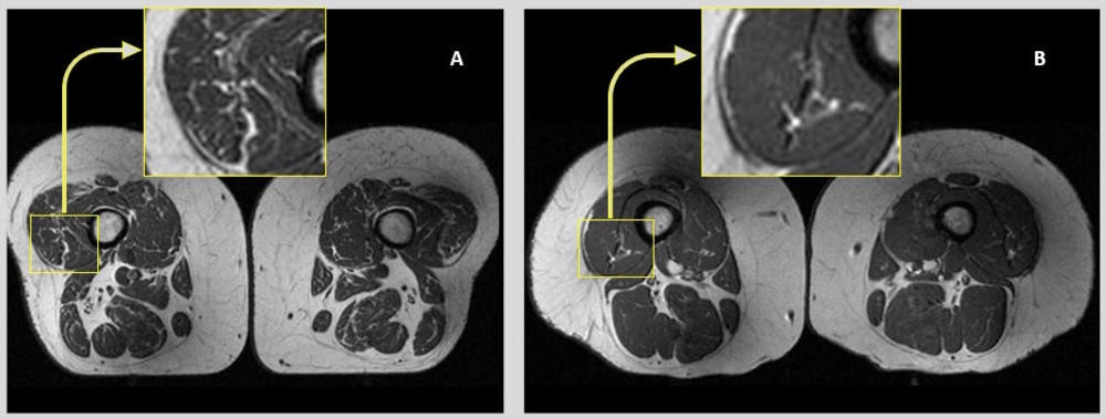
The MRI scan above on the left [click on the figure for a larger version] shows the leg muscles of an obese 58-year-old woman [A]. Her diet consisted of 68 percent ultra-processed foods.

The leg muscles of an obese 62-year-old woman [B] are shown on the top right. Her diet consisted of 'only' 36 percent ultra processed foods. As you can see, the leg muscles of woman B contain demonstrably less fat tissue than the muscles of woman A.

"In an adult population at risk for but without knee or hip osteoarthritis, consuming ultra-processed foods is linked to increased fat within the thigh muscles," says Akkaya in a press release.

"These findings held true regardless of dietary energy content, BMI, sociodemographic factors or physical activity levels."

Source:
RSNA Press Release, December 04, 2024.

More:
How junk food robs you of your muscle strength 17.01.2022
How smoking and ultra processed foods make you less strong 30.01.2011

Archives:
Nutrition & Strength Training


How ultra processed foods make you fat Junk food less fattening with vitamin C The more junk from the food industry you eat, the greater your chance of cancer

How ultra processed foods make you fat
If you replace all non-intensively processed foods in your diet with ready-made ultra processed foods, you will eat 500 kilocalories more every day than if you only eat non-intensively processed foods.

Junk food less fattening with vitamin C
Fattening up rats with junk food is more difficult if you give them vitamin at the same time.

The more junk from the food industry you eat, the greater your chance of cancer
The more foods you consume that have been manufactured by the food industry - and not by yourself - the greater your chance of cancer.